SURGICOLL-MESH ®(Sterile, Bioresorbable Type-I Collagen Matrix)
Surgicoll-Mesh vs. Conventional Collagen for Oral Mucosal Defect (2024)
Effective Gingival Regeneration using Surgicoll-Mesh (2023)
Evaluation of Bovine Derived Collagen of ENCOLL technology (2018)
HEMOCOLL ® (Sterile Active Absorbable Collagen fibres surgical Hemostat)
OSSEOGRAFT ® (DMBM - Xenograft)
Maxillary Sinus Augmentation Courtesy of Armed Forces Medical College, India.(2021)
Treatment of Intra-Osseous Defect (2016)
Treatment of Periodontal diseases in military aviation (2015)
OSSEOMOLD ® (Bone Void Filler, Moldable)
HEALIGUIDE ® (Bioresorbable GTR/GBR Membrane)
Periodontal Tissue Regeneration (2019)
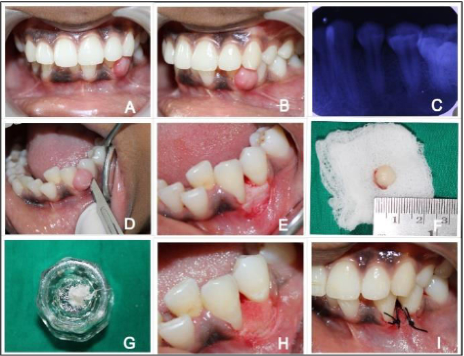
Management of Mucosal Fenestration and Palatogingival Groove (2015)
OSSEOGRAFT ® (DMBM - Xenograft)
&HEALIGUIDE ® (Bioresorbable GTR/GBR Membrane)
Treatment of peri-endo Lesion (2015)
Bone Regeneration in Siebert's C-III Alveolar Ridge Defect (2015)
PERIODONTAL PLUS AB ® (Sustained Local Drug Delivery System)
Effect on Aggregatibacter levels in Chronic Periodontitis (2015)
PPAB vs. Periocol for Chronic Periodontitis (2014)
Case Videos:
OSSEOGRAFT ® (DMBM - Xenograft)
OSSEOMOLD ® (Bone Void Filler, Moldable)
HEALIGUIDE ® (Bioresorbable GTR/GBR Membrane)
PERIODONTAL PLUS AB ® (Sustained Local Drug Delivery System)
HEMOCOLL ® (Sterile Active Absorbable Collagen fibres topical Hemostat)
SURGICOLL-MESH ®(Sterile, Bioresorbable Type-I Collagen Matrix)













